Meet With Our Experts
RVG/OPG (Dental X-Ray)
What are Dental X-Rays?
Dental X-rays (radiographs) are the most common and widely available diagnostic imaging technique. Dental X-rays are pictures of the teeth, bones, and surrounding soft tissues to help find problems with teeth and bone.
What is Radiovisiography?
RVG is the latest X-ray technology in dentistry which helps in a better diagnosis. A high-quality digital image of root structures and bone can be obtained immediately. As compared to the conventional X-ray there is reduced radiation exposure to the patient.
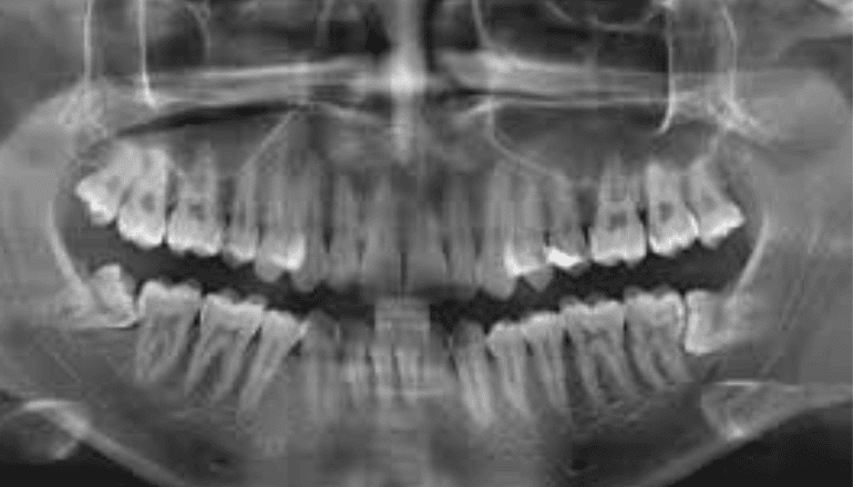
What is an Orthopantomogram (OPG)?
An Orthopantomogram (OPG) or panoramic dental X-ray can show a wide view of jaws, teeth and roots. It displays the nasal area, maxillary sinuses, jaw joints, teeth, upper jaw, lower jaw and surrounding bone on a single film. OPGs are used by Dentists to determine the status of wisdom teeth, to reveal cysts, tumours, bone irregularities and more.
For Appointment
Call Us:
+91-9870745192
Working Hours
- Monday 08:00 AM - 08:00PM
- Tuesday 08:00 AM - 08:00PM
- Wednesday 08:00 AM - 08:00PM
- Thursday 08:00 AM - 08:00PM
- Friday 08:00 AM - 08:00PM
- Saturday 08:00 AM - 08:00PM
- Sunday 08:00 AM - 04:00PM
